Autoimmune hepatitis ups 10-year risk of cancer

12 Jan 2022
Autoimmune hepatitis ups 10-year risk of cancer

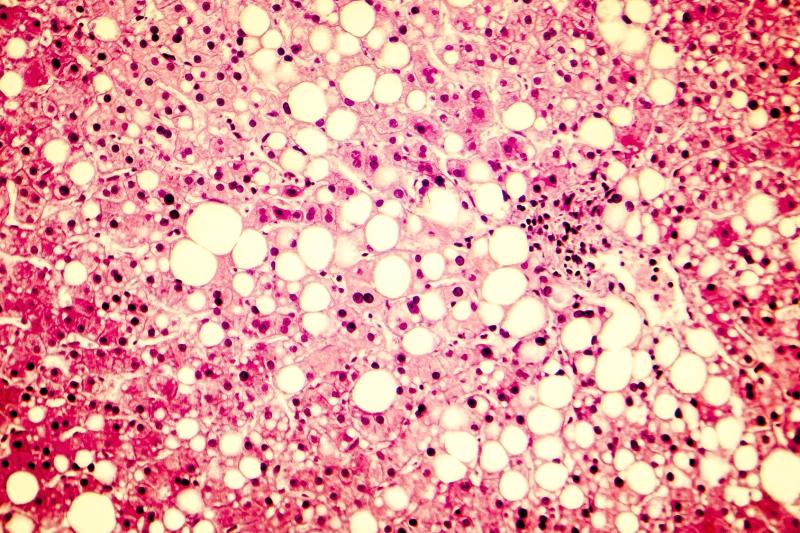
Autoimmune hepatitis (AIH), a chronic inflammatory liver disease, appears to increase the 10-year risk of cancer by 1.5-fold relative to age- and sex-matched controls, a study has shown.

“Among patients with AIH, the risk of cancer was higher for those with cirrhosis, and it also increased slightly with longer duration of immunosuppressive treatment (IST),” the authors said.

Nationwide Danish healthcare registries were used for this study, which identified all individuals diagnosed with AIH between 1994 and 2018. The authors included 1,805 patients with AIH and 16,617 age- and sex-matched population controls.

Cumulative risks of cancers and risk ratios (RRs) between patients and controls were then estimated. Finally, the authors assessed the impact of IST and cirrhosis on cancer risks within the cohort of patients with AIH.

Compared with controls, patients with AIH had 13.6-percent (95 percent confidence interval [CI], 11.7‒15.6) higher 10-year risk of any cancer, with an RR of 1.5 (95 percent CI, 1.3‒1.7).

Specifically, the 10-year risk of cancer was 0.5 percent (95 percent CI, 0.2‒1.1) for hepatocellular carcinoma, 1.6 percent (95 percent CI, 1.0‒2.5) for colorectal cancer (RR, 2.1, 95 percent CI, 1.3‒3.5), and 4.0 percent (95 percent CI, 3.0‒5.3) for nonmelanoma skin cancer (RR, 1.8, 95 percent CI, 1.3‒2.5).

The risk of cancer among AIH patients was higher for those with cirrhosis (hazard ratio, 1.3, 95 percent CI, 1.0‒1.7), increasing 1.05-fold (95 percent CI, 1.0‒1.1) for every year the patient was on IST.

Am J Gastroenterol 2022;117:129-137