CKD patients with intracerebral haemorrhage face poor prognosis




Poor outcomes hound several patients with chronic kidney disease (CKD) who develop intracerebral haemorrhage, reveals a study presented at the recent AAN 2023.
Findings from this retrospective study in the Philippines are consistent with those from studies conducted in other countries, according to the researchers, led by Dr Judy Opao, internal medicine, National Kidney and Transplant Institute, Quezon City, Philippines.
“Stroke rates for end-stage renal disease (ESRD) patients are markedly higher than for the general population,” the researchers said. “Stroke is the third leading cause of cardiovascular disease death among persons with ESRD on dialysis.”
Opao and colleagues further stressed the increased risk of haemorrhagic stroke compared with ischaemic stroke in patients on dialysis. However, the occurrence of intracerebral haemorrhage in CKD patients in the Philippines has yet to be described systematically.
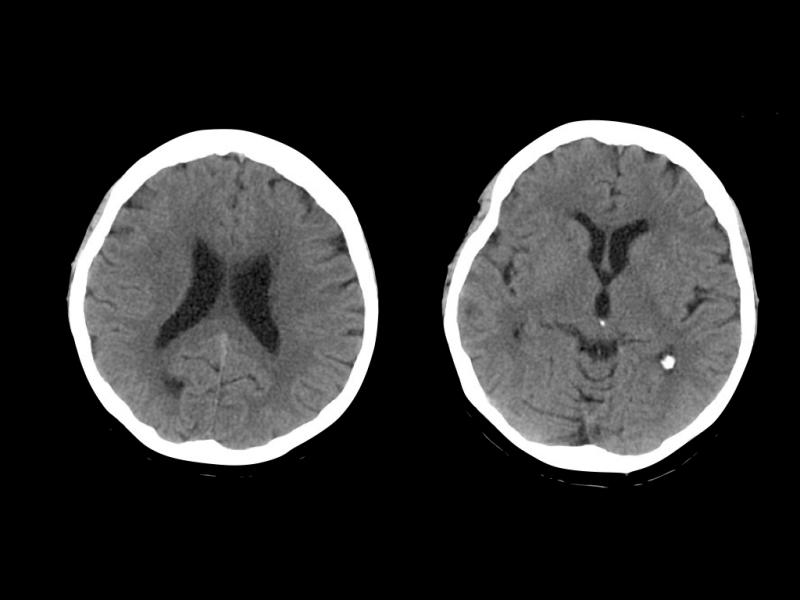
To address this knowledge gap, Opao and her team conducted a retrospective study in a specialized centre for kidney disease, which included 88 patients with CKD who developed acute intracerebral haemorrhage from 2017 to 2019. They excluded other vascular events, such as subdural haemorrhage and subarachnoid haemorrhage, from the analysis.
Of the patients (mean age 49.7 years), majority were females (62.5 percent) and had CKD stage 5 at stroke onset. The leading causes of CKD and the most common comorbidities in these patients were hypertension and diabetes mellitus. Most of them were on haemodialysis. [AAN 2023, abstract P14.005]
Platelet counts, prothrombin time, and activated partial thromboplastin time were all within the normal range in nearly all patients, and only a few were using anticoagulant or antiplatelet medications prior to the stroke.
The most frequent locations of intracerebral haemorrhage were the basal ganglia/putamen, lobar, and thalamus. Several patients recorded an intracerebral haemorrhage score of 0 to 2, and many of them experienced poor neurologic outcomes, with a Modified Rankin Scale of 4 to 5 or even death.
“This study showed that [the] majority [of] patients with CKD who develop intracerebral haemorrhage had poor outcome,” the researchers said.
Predictor of stroke
In the chronic renal insufficiency cohort (CRIC) study, Sandsmark and colleagues found proteinuria and albuminuria to be better predictors of stroke risk than estimated glomerular filtration rate (eGFR) in CKD patients. [Stroke 2015;46:2075-2080]
“[T]he CRIC cohort study supports the growing body of evidence that proteinuria is a biomarker for cardiovascular risk and extends these findings to include proteinuria and albuminuria as markers of cerebrovascular risk in [patients] with CKD,” the investigators said.
Previous studies have shown the association of reduced kidney function with inflammation, thromboembolism, endothelial dysfunction, and arterial stiffness/calcification. These factors contribute to an increase in the risk of stroke. [Circulation 2003;107:87-92; Nephrol Dial Transplant 2003;18:1731-1740; J Am Coll Cardiol 2002;39:695-701]
“The kidney and brain both have low-resistance microvasculatures exposed to high volume, continuous perfusion. Small vessel cerebrovascular disease in the brain is mediated by endothelial dysfunction, arteriosclerosis, and blood-brain barrier disruption,” the investigators said.
“Similarly, kidney dysfunction is associated with endothelial dysfunction and lipohyalinosis, both features of small vessel disease. In fact, CKD has been associated with subclinical white matter abnormalities, suggesting that the two may share similar pathogenic mechanisms,” they added. [J Am Soc Nephrol 2002;13:806-816; Contrib Nephrol 2013;179:24-34]