DUETS better than Light's criteria for pleural effusion

25 Oct 2024
DUETS better than Light's criteria for pleural effusion

Use of the Diaphragmatic nodularity, Unilateral, Echogenicity, pleural Thickening and Septations (DUETS) score can accurately separate exudates from transudates in patients with pleural effusion (PE), reports a recent study.

Furthermore, DUETS can get rid of paired serum and pleural fluid tests, which are necessary for Light’s criteria computation.

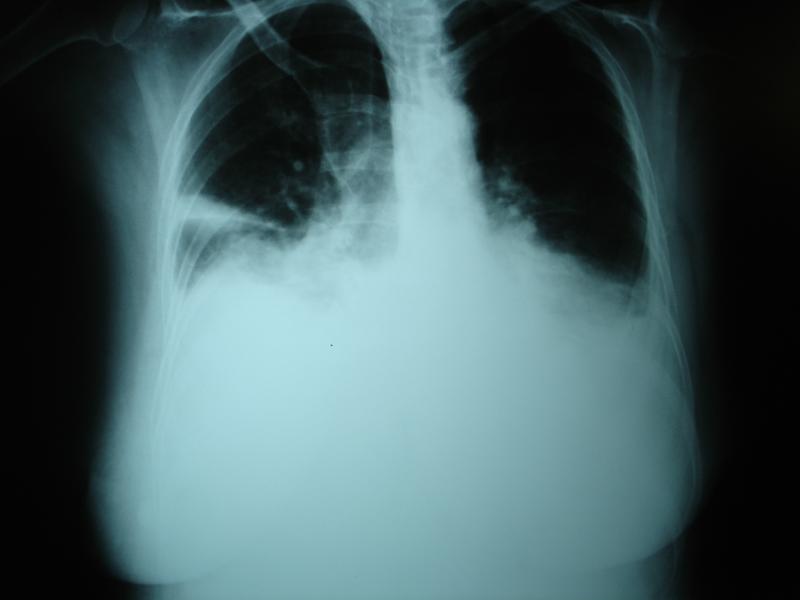
A total of 201 patients with PE who underwent thoracocentesis were included in this prospective review. The investigators assessed chest x-rays for laterality, followed by ultrasound (US) for echogenicity, pleural nodularity, thickening, and septations.

Based on Light’s criteria, PE was classified as either exudate or transudate and corroborated with albumin gradient. The investigators then developed a score that combines radiological and US features.

Of the patients (mean age 64 years, 51 percent female), 164 (81.6 percent) were exudates and 37 (18.4 percent) were transudates.

The DUETS score ranged from 1 to 5, with 1 point assigned each for diaphragmatic nodularity, unilateral, echogenicity, pleural thickening, and septations. A score of 2 or higher indicated an increased likelihood for exudate (positive predictive value, 98.8 percent, negative predictive value, 100 percent), with fewer misclassification relative to Light’s criteria (1 percent vs 6.9 percent; p<0.001).

"Our study reflected real world practice where DUETS performed better than Light's criteria for PE that arose from more than one disease processes and in the evaluation of patients with PE who have received diuretics,” the investigators said.

Respirology 2024;29:976-984