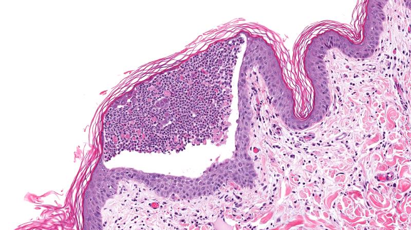
Treatment with rituximab in patients with pemphigus appears to yield long-term cardiovascular and metabolic protections as compared with conventional immunosuppressants, a study has shown.
The study used data from the Global Collaborative Network of TriNetX platform and involved 1,922 patients with pemphigus who were managed with rituximab (n=961) or first-line corticosteroid-sparing agents (azathioprine and mycophenolate mofetil [MMF]; n=961).
Researchers applied propensity score matching to compare the two treatment groups in terms of the following outcomes: myocardial infarction, stroke, peripheral vascular disease, pulmonary embolism, hypertension, hyperlipidaemia, type 2 diabetes, obesity, osteoporosis, and avascular bone necrosis.
The matched population comprised 801 patients each in the rituximab and azathioprine/MMF groups. The mean age of the 1,602 participants was 54.8 years, and 53.4 percent were women.
Compared with azathioprine/MMF, treatment with rituximab was associated with a lower risk of myocardial infarction (relative risk [RR], 0.45, 95 percent confidence interval [CI], 0.24–0.86; p=0.01), stroke (RR, 0.42, 95 percent CI, 0.26–0.69; p<0.001), peripheral vascular disease (RR, 0.47, 95 percent CI, 0.28–0.79; p=0.003), hypertension (RR, 0.48, 95 percent CI, 0.38–0.63; p<0.001), hyperlipidaemia (RR, 0.45, 95 percent CI, 0.32–0.64; p<0.001), type 2 diabetes (RR, 0.63, 95 percent CI, 0.51–0.77; p<0.001), obesity (RR, 0.49, 95 percent CI, 0.34–0.72; p<0.001), and osteoporosis (RR, 0.46, 95 percent CI, 0.30–0.71; p<0.001).
Meanwhile, all-cause mortality did not significantly differ between the two groups (hazard ratio, 0.94, 95 percent CI, 0.62–1.43; log-rank p=0.77).
The findings indicate that rituximab may be preferred in individuals with pre-existing cardiovascular and metabolic risk factors.