Therapeutic thoracentesis of no help in patients with acute heart failure, pleural effusion

04 May 2025
Therapeutic thoracentesis of no help in patients with acute heart failure, pleural effusion

A strategy of upfront routine thoracentesis in addition to standard medical therapy does not appear to improve survival outcomes for patients with acute heart failure and pleural effusion, as shown in the results of TAP-IT*.

The study included 135 patients (median age 81 years, 33 percent female) with acute heart failure, left ventricular ejection fraction ≤45 percent (median 25 percent), and non-negligible pleural effusion. None of them had very large effusions (more than two-thirds of the hemithorax).

The patients were randomly assigned to receive upfront ultrasound-guided pleural pigtail catheter thoracentesis in addition to standard medical therapy (n=68) or standard medical therapy alone (n=67). Randomization occurred at a median of 21 hours after admission.

The primary outcome was days alive out of the hospital over the following 90 days. Secondary outcomes included length of admission and 90-day all-cause mortality. These outcomes were analysed in an intention-to-treat population.

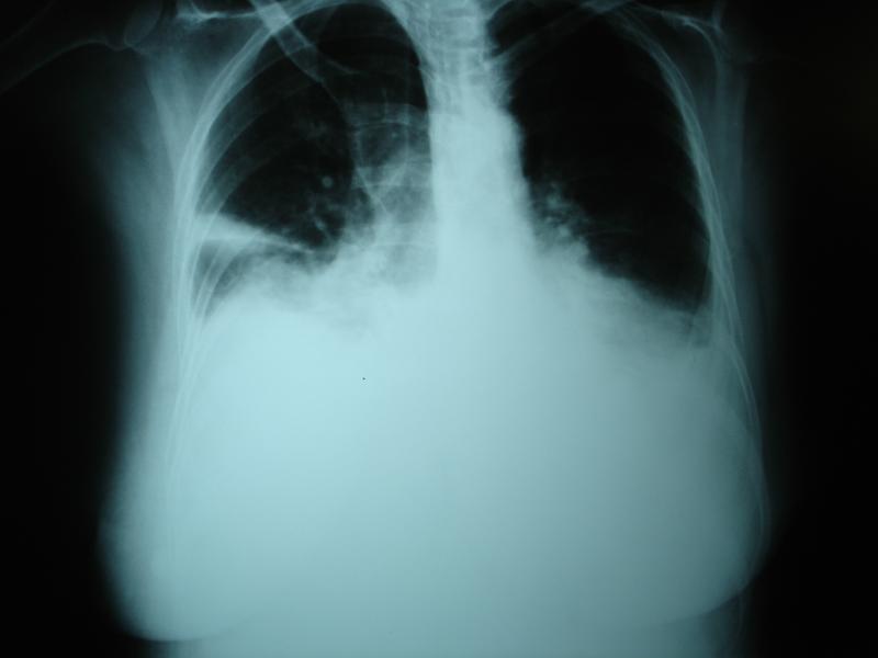
Overall, around half of the population had new-onset heart failure (53 percent) and received anticoagulation therapy (49 percent). Most participants underwent different imaging procedures as part of their diagnostic workup before randomization. Computed tomographic scan results were available in 22 percent of participants, ultrasound results in 46 percent, and chest X-rays in 84 percent. Pleural effusion was bilateral in 73 percent.

The number of days alive out of the hospital over the following 90 days did not differ between the thoracentesis and standard medical therapy groups (median, 84 vs 82 days; p=0.90). Likewise, the duration of the index admission was similar between the two groups (median, 5 vs 5 days; p=0.69), as was the 90-day all-cause mortality rate (13 percent vs 13 percent; p=0.90).

Major complications occurred in 1 percent of thoracenteses performed during the study period.

*Thoracentesis to Alleviate Cardiac Pleural Effusion–Interventional Trial

Circulation 2025;doi:10.1161/CIRCULATIONAHA.124.073521