Content:
Tổng quan
Nội dung của trang này:
Tổng quan
Nội dung của trang này:
Tổng quan
Tổng quan
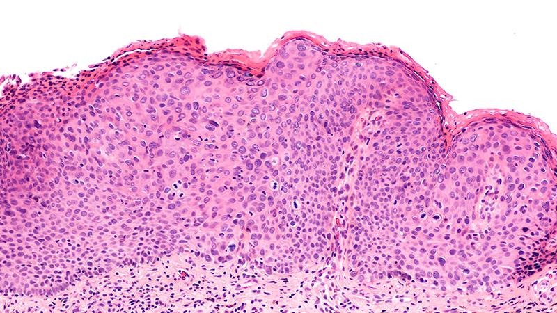
Cervical cancer is the fourth most common cancer in women and the leading cause of mortality in women worldwide.
Though cervical cancer is asymptomatic in the early stages, signs and symptoms include abnormal vaginal bleeding (initially post-coital bleeding then later becoming profuse), vaginal discharge, lower back pain, pelvic pain, dyspareunia, painful urination or dysuria.
Screening for cervical cancer after vaccination is still recommended because only 70% of the virus types associated with invasive cervical cancer consist of HPV 16 and 18 types and women may not be entirely protected if they have been infected with other HPV types prior to vaccination.
Vaccination may reduce the incidence of HPV-related disease (eg cervical, penile, vulvar, vaginal, anal and oropharyngeal cancer and precancerous lesions).
For further information regarding the management of Cervical Cancer - Prevention & Screening, please refer to Disease Algorithm for the Treatment Guideline.
Though cervical cancer is asymptomatic in the early stages, signs and symptoms include abnormal vaginal bleeding (initially post-coital bleeding then later becoming profuse), vaginal discharge, lower back pain, pelvic pain, dyspareunia, painful urination or dysuria.
Screening for cervical cancer after vaccination is still recommended because only 70% of the virus types associated with invasive cervical cancer consist of HPV 16 and 18 types and women may not be entirely protected if they have been infected with other HPV types prior to vaccination.
Vaccination may reduce the incidence of HPV-related disease (eg cervical, penile, vulvar, vaginal, anal and oropharyngeal cancer and precancerous lesions).
For further information regarding the management of Cervical Cancer - Prevention & Screening, please refer to Disease Algorithm for the Treatment Guideline.
