ARO-HSD well tolerated in NASH patients

02 Apr 2023
ARO-HSD well tolerated in NASH patients

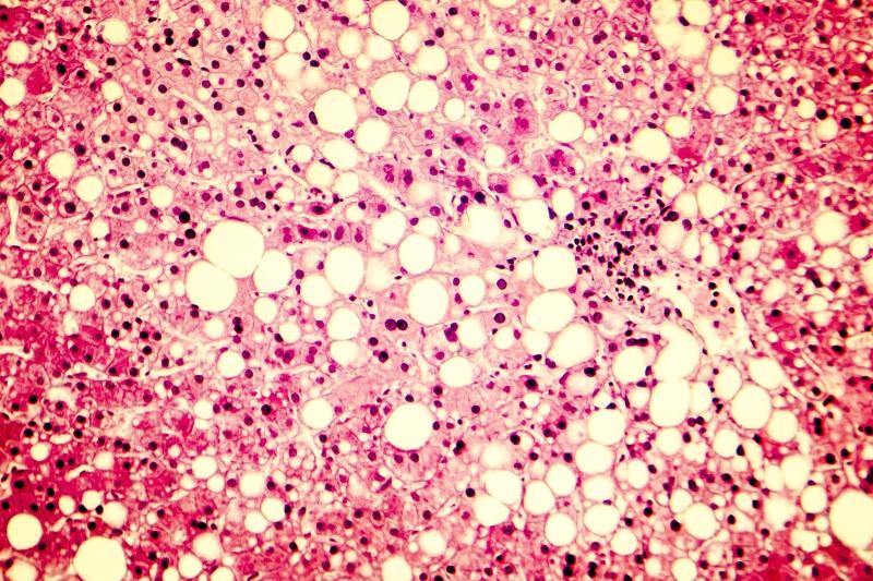
An RNA interference therapy, ARO-HSD, is tolerable at ≤200-mg doses, suggests a phase I/II study. Short-term treatment with ARO-HSD results in decreases in hepatic HSD17β13 mRNA and protein expression, which is complemented by alanine aminotransferase reductions.

Thirty-two normal health volunteers (NHV) and 18 patients with confirmed/clinically suspected nonalcoholic steatohepatitis (NASH) participated in this study. The authors then assessed the safety, tolerability, and pharmacodynamics of ARO-HSD among participants.

Double-blind NHV cohorts were treated with single escalating doses of ARO-HSD (25, 50, 100, or 200 mg) or placebo subcutaneously on day 1, while open-label cohorts received ARO-HSD (25, 100, or 200 mg) subcutaneously on days 1 and 29. The authors also conducted liver biopsy predose and on day 71 to analyse the expression levels of HSD17β13 mRNA and protein.

ARO-HSD was well tolerated and showed no treatment-related serious adverse events (AEs) or drug discontinuations. Mild injection site reactions, which were short in duration, were the most common treatment-emergent AEs.

From baseline to day 71, mean changes in hepatic HSD17β13 mRNA were ‒56.9 percent (25 mg), ‒85.5 percent (100 mg), and ‒93.4 percent (200 mg). The mean reduction in HSD17β13 mRNA across pooled cohorts was 78.6 percent (p<0.0001). Likewise, hepatic HSD17β13 protein levels decreased across doses.

The mean changes in alanine aminotransferase among patients from baseline to day 71 were ‒7.7 percent (25 mg), ‒39.3 percent (100 mg), and ‒42.3 percent (200 mg; p<0.001 for pooled cohorts).

“Loss-of-function HSD17β13 mutations protect against the development of chronic liver disease,” the authors said. “HSD17β13 inhibition represents a potential approach to treat liver diseases, such as NASH.”

J Hepatol 2023;78:684-692